Par Louisa Sadat.
Les escarres sont des lésions de la peau et des tissus sous-jacents causées par une pression prolongée et des efforts de cisaillement, notamment au niveau des zones osseuses comme les tubérosités ischiatiques. Ces efforts prolongés peuvent bloquer la circulation sanguine locale et provoquer une déformation mécanique des tissus, privant ainsi les tissus d’oxygène et de nutriments, et entraînant des plaies graves et douloureuses [1][2]. Les personnes âgées ou à mobilité réduite (comme les patients blessés médullaires) sont particulièrement à risque, car elles ne ressentent pas toujours l’inconfort limitant leur capacité à se repositionner à temps [3][4], en plus de défauts biologiques qui fragilisent leur peau et sa capacité de défense face aux contraintes mécaniques [5]. En pratique clinique, les nappes de pression permettent de visualiser les zones de forte pression externe, toutefois, cet outil ne donne qu’une vision partielle car les mécanismes lésionnels dépendent de la réponse interne des tissus (ischémie, déformation) qu’ils n’évaluent pas directement [6][7]. Ces mécanismes restent encore partiellement compris, notamment l’interaction entre pression externe, perfusion sanguine et déformation tissulaire dans des conditions d’assise réalistes. Pour combler cette lacune, cette étude préliminaire et exploratoire a pour objectif de mesurer simultanément la pression d’interface, la perfusion cutanée et la déformation du tissu adipeux sous l’ischion, en position assise prolongée, afin de mieux caractériser les facteurs de risque chez des sujets jeunes et âgés.
La population comprend 7 jeunes adultes asymptomatiques (23 ± 1 ans) et 2 personnes âgées asymptomatiques (74 ans). Un dispositif expérimental sur mesure a été conçu (Figure 1), intégrant une chaise rigide équipée d’une nappe de pression et d’une sonde Laser Doppler Flowmetry (LDF) permettant de mesurer simultanément pression à l’interface peau/chaise et perfusion cutanée sous l’ischion. Ces mesures ont été enregistrées lors d’une période d’assise de 30 minutes pour la population jeune et 15 minutes pour la population plus âgée pour réduire les risques de lésions. Dans un second temps, la macro-déformation du tissu adipeux a été analysée en mesurant, par échographie, l’évolution de son épaisseur lorsque le participant effectue un basculement latéral du bassin pour soulever la fesse et ainsi décharger partiellement la zone ischiatique.
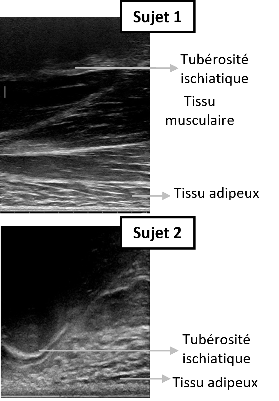
Les résultats confirment des observations antérieures sur la perfusion tissulaire sous charge : le flux sanguin cutané chute brutalement dès le début de l’assise, puis se stabilise autour de 400 secondes et reste faible tout au long de l’expérience [5]. Pour des pressions moyennes de 8 à 12 kPa (9,8 ± 0,7 kPa pour les sujets âgés, 9,3 ± 1,3 kPa pour les jeunes) et des pics atteignant 57 kPa, le flux sanguin diminue en moyenne de 75 % par rapport au repos et ne revient pas aux valeurs hors chargement après 3, 5 ou 11 minutes de décharge. De plus, les sujets âgés présentent une déformation du tissu adipeux bien plus marquée avec un ratio d’épaisseur finale/initiale de 0,30 ± 0,06 contre 0,74 ± 0,19 chez les jeunes (p = 0,0003), tendance à confirmer sur un plus grand échantillon. L’échographie révèle deux morphologies distinctes sous la tubérosité ischiatique en position assise : seul un sujet jeune présente trois couches différenciées (graisse, muscle, os), tandis que les 8 autres ne présentent pas de tissu musculaire sous la tubérosité ischiatique en position assise (Figure 2). Ce constat, cohérent avec Sonenblum et al. [8], souligne l’importance du rôle du tissu adipeux, premier tissu indenté par l’ischion, dans le risque d’escarre. Enfin, aucune corrélation n’a été trouvée entre la pression d’interface, la baisse de flux sanguin cutané et l’épaisseur du tissu adipeux, suggérant que la mesure de la pression seule ne suffit pas à prédire le risque d’ischémie, et a fortiori le risque d’escarre.
En conclusion, cette étude de faisabilité met en avant la mesure du flux sanguin cutané par laser Doppler (LDF) pour évaluer la microcirculation locale en position réaliste d’assise prolongée. À l’avenir, ce type d’approche combinée pourrait aider à détecter plus tôt les signes de fragilité tissulaire et à adapter la prévention pour les populations les plus à risque.

Figure 1. Schéma récapitulatif du protocole expérimental. A) B) C) D) : Chronologie de l’expérimentation ; A) Évaluation du flux sanguin cutané sans chargement par LDF ; B) Mesures de la pression d’interface et du flux sanguin cutané en position assise ; C) Mesure du flux sanguin cutané après la période d’assise ; D) Évaluation échographique de la déformation du tissu adipeux entre les états chargé et déchargé (position assise – fesses décollées); E) Dispositif expérimental en configuration assise prolongée ; F) Dispositif expérimental pour l’imagerie échographique.

Figure 2. Différentes morphologies observable sous la tubérosité ischiatique par échographie en position assise. Sujet 1 présentant différents chefs musculaires entre la tubérosité ischiatique et le tissu adipeux, sujet 2 absence de tissu musculaire dans cette configuration.
References
[1] : Shiferaw, W. S., Akalu, T. Y., Mulugeta, H., & Aynalem, Y. A. (2020b). The global burden of pressure ulcers among patients with spinal cord injury : a systematic review and meta-analysis. BMC Musculoskeletal Disorders, 21(1). https://doi.org/10.1186/s12891-020-03369-0
[2] : Oomens, C. W. J., Bader, D. L., Loerakker, S., & Baaijens, F. (2014). Pressure induced deep tissue injury explained. Annals Of Biomedical Engineering, 43(2), 297‑305. https://doi.org/10.1007/s10439-014-1202-6
[3] : Saunders, L. L., Krause, J. S., & Focht, K. L. (2011). A longitudinal study of depression in survivors of spinal cord injury. Spinal Cord, 50(1), 72‑77. https://doi.org/10.1038/sc.2011.83
[4] : Worsley, P. R., Rebolledo, D., Webb, S., Caggiari, S., & Bader, D. L. (2017). Monitoring the biomechanical and physiological effects of postural changes during leisure chair sitting. Journal Of Tissue Viability, 27(1), 16‑22. https://doi.org/10.1016/j.jtv.2017.10.001
[5] : Fromy, Bérengère, et al. « Aging-Associated Sensory Neuropathy Alters Pressure-Induced Vasodilation in Humans ». Journal of Investigative Dermatology, vol. 130, no 3, mars 2010, p. 849‑55. DOI.org (Crossref), https://doi.org/10.1038/jid.2009.279
[6] : Gefen, Amit, et al. « Strain-Time Cell-Death Threshold for Skeletal Muscle in a Tissue-Engineered Model System for Deep Tissue Injury ». Journal of Biomechanics, vol. 41, no 9, 2008, p. 2003‑12. DOI.org (Crossref), https://doi.org/10.1016/j.jbiomech.2008.03.039
[7] : Stekelenburg, Anke, et al. « Role of Ischemia and Deformation in the Onset of Compression-Induced Deep Tissue Injury: MRI-Based Studies in a Rat Model ». Journal of Applied Physiology, vol. 102, no 5, mai 2007, p. 2002 11. DOI.org (Crossref), https://doi.org/10.1152/japplphysiol.01115.2006
[8] : Sonenblum, Sharon Eve, et al. « 3D Anatomy and Deformation of the Seated Buttocks ». Journal of Tissue Viability, vol. 24, no 2, mai 2015, p. 51 61. DOI.org (Crossref), https://doi.org/10.1016/j.jtv.2015.03.003
L’auteure

Louisa Sadat, École nationale supérieure d’Arts et Métiers - Institut de Biomécanique Humaine Georges Charpak
Louisa est élève ingénieure Arts et Métiers (ENSAM) qui a choisi d’effectuer un double diplôme Master Recherche en Biomécanique. Diplômée en Octobre 2025, elle souhaite s’orienter en R&D dans le domaine du sport ou de la santé.
Copyright
© 2025 par l’auteur. Sauf mention contraire, le contenu du blog de la Société de Biomécanique (texte et figures) est distribué sous licence Creative Commons Attribution - Partage dans les mêmes conditions 4.0.